Post

Die Abteilung für Radioonkologie führt die erste Radiochirurgie mit der RapidArc Technik durch

Die Abteilung für Radioonkologie führt die erste Radiochirurgie mit der RapidArc  Technik durch

20. Februar 2015

IMED Hospitales

En Jahr nach der Umsetzung der fraktionierten stereotaktischen Strahlentherapie ist die Abteilung für Radioonkologie im Krankenhaus IMED Elche noch einen Schritt  weitergegangen und wird das erste medizinische Zentrum der Provinz Alicante, dass für eine Radiochirurgie die volumetrischen Therapietechnik RapidArc (Varian) anwendet.

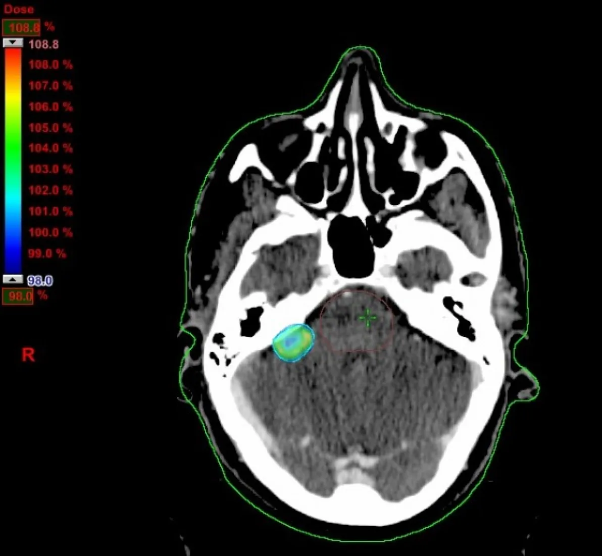
Die Radiochirurgie ist eine stereotaktische Strahlentherapie im Bereich des Gehirnschädels, die bei Tumoren, kleiner als 3cm, angewandt wird. Sie wird in einzelnen Sitzungen mit sehr hohen Dosen durchgeführt und das Behandlungsvolumen setzt höchste Präzision voraus. Das Verfahren erfordert eine perfekte Koordination aller beteiligten Mitarbeiter (Radiologie, Krankenpflege und Onkologie).

Für die Behandlungsplanung ist eine Simulation mit CT und MRT erforderlich um Grösse und Form des zu behandelnden Tumors korrekt definieren zu können. Das Planungssystem Eclipse ermöglicht eine Bildfusion, die den Onkologen der Strahlentherapie und den Strahlenphysikern erheblich hilft, so präzise wie möglich zu sein.

Radiochirurgie-Behandlungen dauern in der Regel recht lange (ca. 30min), da es sich um nicht-koplanare Bestrahlungen handelt. Die Verwendung der volumetrischen Therapietechnik RapidArc bei diesen Behandlungen kann die Zeit, die der Patient im Behandlungszimmer verbringt wesentlich verringern.

principal-imagenes-rapidarc_1-es_grande.jpg

Notas de prensa